|
Implantologie -
Lachen und alles Essen mit schönen festen Zähnen
Alle Therapieschritte
der zahnärztlichen Implantologie (Aufklärung/
Implantation, Knochenaufbau,
Kieferhöhlenaufbau/ Versorgung der Implantate mit
hochwertigem Zahnersatz) erfolgen in der eigenen
Praxis aus einer Hand.
Was
sind Zahnimplantate?

Implantate sind
künstliche Zahnwurzeln und bestehen aus reinem Titan. Dieser
bewährte biologisch verträgliche Werkstoff ist sehr
gewebefreundlich.
Implantate werden schmerzfrei in den Knochen
eingesetzt und dieser verwächst mit den Implantaten.
Die Implantate sorgen dann für den nötigen Halt der
Kronen, Brücken oder Prothesen, wie die Zahnwurzeln bei
den natürlichen Zähnen.
Auf ihnen ruhen neue Zähne so sicher, wie die Eigenen. Wurzel
und Zahnkrone entsprechen einer einzigartigen fast naturgleichen
Nachbildung.

Welche Vorteile haben Zahnimplantate?
•
Sicherheit und Ästhetik beim Lachen,
Sprechen, Essen
und
Küssen
• Bessere Gesundheit durch optimale
Zerkleinerung
der Nahrung
•
gesteigertes Selbstbewusstsein durch
höhere
Lebensqualität, Vitalität, Attraktivität und
Erotik
•
durch natürliche Belastung des
Kieferknochens
kein Knochenabbau
•
bessere Geschmackswahrnehmung
•
kein
Fremdkörpergefühl
•
beste Verankerung der Prothesen und somit
kein
Prothesenklappern und -kleben mehr

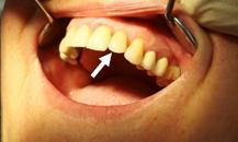
Diese
Einzelzahnkrone ist auf einem
Implantat
befestigt. Zustand 3 Jahre
nach Implantation
Wie
funktioniert das Implantieren?
•
Mittels örtlicher Betäubung wird
das schmerzfreie
Eröffnen des Zahnfleisches
ermöglicht.

•
Im
Kieferknochen wird mit einem Spezialbohrer
das Implantatbett geschaffen, in welches
anschließend passgenau die
künstliche Zahnwurzel
eingeschraubt wird.

•
Mit
einer Naht wird das Zahnfleisch über
dem Implantat wieder verschlossen und es
beginnt
die Einheilphase. Diese dauert in der
Regel 3-6 Monate.

•
Jetzt
sind Knochen und Implantat miteinander
verwachsen.
Nun wird das Aufbauelement in das
Implantat eingefügt.
•
Nach
weiteren 2 Wochen wird der Zahnersatz fest auf
die Implantatkonstruktion gesetzt.

•
Damit
sich die Investition in die Zahngesundheit
langfristig lohnt, bietet unsere Praxis
regelmäßige
Implantatkontrollen und professionelle Zahnreinigungen
an. Ein 6-monatiges Intervall ist hier
die zahnärztliche
Empfehlung.
Einsatzmöglichkeiten von Zahnimplantaten
Zahnimplantate können nach Abschluss des
Knochenwachstums bis ins hohe Alter eingesetzt werden.
Die Implantate mit ihren Aufbauten ersetzen einzelne Zähne
genauso wie mehrere nebeneinander fehlende Zähne und verankern
Prothesen fest am Kieferknochen.
Auch zu geringer Kieferknochen stellt heute kein Problem mehr dar,
Implantate einzupflanzen. Der Aufbau des fehlenden Knochens erfolgt mit
körpereigenem Knochen und/ oder Knochenersatzmaterialien.
•
Es fehlt ein Zahn
Die Einzelzahnlücke wird durch ein
Implantat mit Kronenaufbau geschlossen ohne dass gesunde
Nachbarzähne für eine Brücke abgeschliffen
und damit
geschädigt werden müssen.
  
• Es fehlen mehrere
Zähne
Die Implantate dienen als Stützpfeiler
für den festsitzenden Zahnersatz. Wenn am Ende der Zahnreihe
mehrere Backenzähne fehlen (Freiendsituation, Bild 1) sind
hier Implantate (Bild 2) mit fest verankerten Kronen die beste und
einzige Lösung (Bild 3), um eine herausnehmbare Teilprothese
z.B. mit Klammern als Halteelemente zu umgehen, die die benachbarten
Zähne schädigen und die Optik stark
beeinträchtigen.
  
Bild
1
Bild
2
Bild 3
• Es
fehlen alle Zähne
Nach Zahnverlust kommt es zur Kieferkammatrophie
(Rückbildung des Knochens), so dass die auf der Schleimhaut
liegenden Totalprothesen nicht optimal und oft nur mit Hilfe von
Klebemitteln halten.
Mit dem Einpflanzen von künstlichen Zahnwurzeln und den
entsprechenden Aufbauten kann man auch mit den Totalprothesen wieder
alles Essen, unbeschwert Lachen und Sprechen.
Die Art der Verankerung der Prothese auf den Implantaten ist
abhängig von anatomischen Voraussetzungen und den
Wünschen des Patienten.
Diesen implantatgestützten Totalzahnersatz kann man vom
natürlichen Gebiss nicht mehr unterscheiden.
   
Zahnimplantate sind auf Dauer mit Sicherheit die
wirtschaftlichere Lösung als konventionelle Kronen- oder
Brückenversorgungen.
|